Logo Tom's Hardware
  • Hardware
  • Videogiochi
  • Mobile
  • Elettronica
  • EV
  • Scienze
  • B2B
  • Quiz
  • Tom's Hardware Logo
  • Hardware
  • Videogiochi
  • Mobile
  • Elettronica
  • EV
  • Scienze
  • B2B
  • Quiz
  • Forum
  • Sconti & Coupon
Offerte & Coupon
Accedi a Xenforo
Immagine di M2Test, l'innovazione del BES Test
Business
Immagine di Fare impresa solo con l'AI, ecco com'è andata a chi ci ha provato Fare impresa solo con l'AI, ecco com'è andata a chi ci ha p...
Immagine di Google chiude i rubinetti di Gemini: finisce l'era della cortesia mentre GPT-5.2 bussa alla porta Google chiude i rubinetti di Gemini: finisce l'era della cor...

M2Test, l'innovazione del BES Test

Un sistema nuovo, che usa gli algoritmi per prevenire fratture e curare malattie delle ossa, che spesso sfuggono alla diagnosi densitometrica

Avatar di Antonino Caffo

a cura di Antonino Caffo

Editor @Tom's Hardware Italia

Pubblicato il 28/09/2021 alle 16:01 - Aggiornato il 05/11/2021 alle 16:06
Quando acquisti tramite i link sul nostro sito, potremmo guadagnare una commissione di affiliazione. Scopri di più

M2Test è una start up innovativa italiana nata nel 2016 come spin-off accademico dell'Università di Trieste. Vincitrice del percorso di accelerazione ed innovation factory dell'incubatore Area Science Park, si concentra nel segmento del med-tech tramite la fornitura in modalità saas del 'BES test' acronimo di ball elastic structure test.

Si tratta di un nuovo test per la valutazione dell'elasticità dell'osso, a partire dalla valutazione della microarchitettura interna dell'osso stesso. L'obiettivo è curare molte patologie, tra cui l'osteoporosi primaria, fisiologica, che le secondarie, chiamate così perché sono causate dalla presenza di altre patologie e alterazioni oppure dall'uso di determinati farmaci.

«Alla base di M2Test c'è la considerazione che circa la metà delle persone vittime di fratture a basso trauma hanno una densitometria, che è l'esame diagnostico attualmente di riferimento, che ricade in valori normali o appena compromessi. Manca quindi un pezzo importante alla diagnosi».

«Questo perché la struttura interna dell'osso non dipende solo da quanta materia c'è, dalla sua densità, ma da come questa è dispostaı» ci dice Francesca Cosmi, co-founder di M2Test e docente dell'Università di Trieste.

«Nel valutare l'osteoporosi, bisogna considerare non solo la quantità di minerali presenti ma anche come la struttura dell'osso sia in grado di tenere in piedi tutta l'impalcatura».

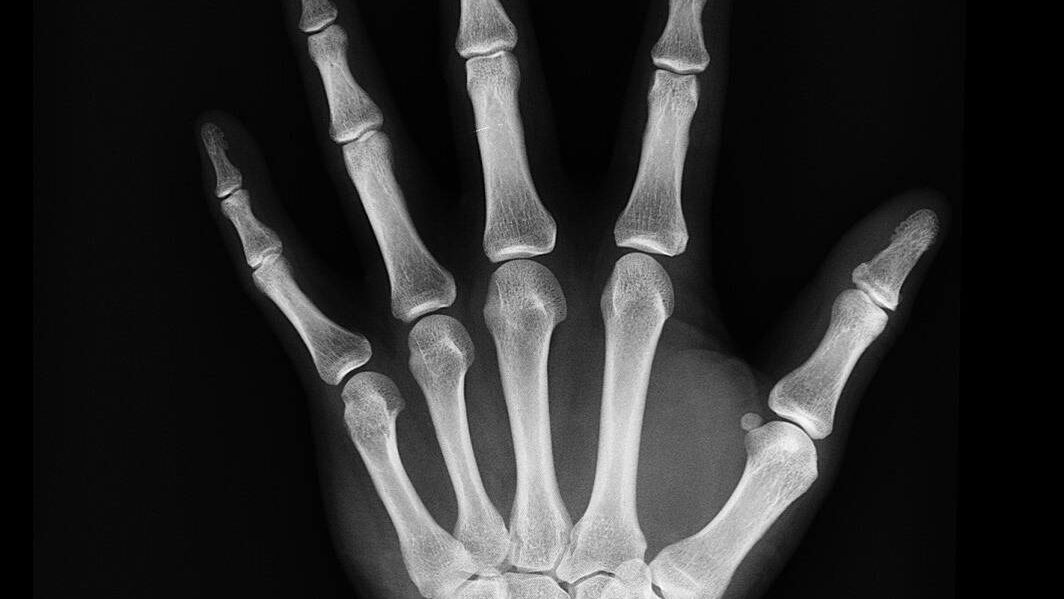
Quello a cui è arrivata M2Test è realizzare un sistema che, tramite tre mini radiografie a bassissimo dosaggio, riesce a valutare l'elasticità dell'osso. Il test può essere eseguito in maniera significativa anche sulla mano, a differenza di quanto accade nella densitometria classica, che va a valutare localmente i luoghi di frattura.

«Le tre mini radiografie prese a livello della mano non dominante sulle tre dita centrali vengono caricate sulla piattaforma di M2Test, dove un algoritmo proprietario le elabora e, in cinque minuti, restituisce un report in grado di validare il rischio di fratture. Sarà poi il dottore a refertare il tutto» continua Alessandra Nicolosi, CEO e co-founder di M2Test.

In pratica, il test permette di determinare la qualità della struttura trabecolare, analizzando la distribuzione dei carichi per mezzo di una strumentazione radiologica portatile “palmare” dedicata, che acquisisce l’immagine radiografica (proiezione A-P) delle epifisi prossimali di indice, medio ed anulare della mano non dominante e di un avanzato modello ingegneristico che valuta il modulo elastico apparente E* nella regione di interesse, indicativo della resistenza ossea.

I risultati delle simulazioni e l’entità dei toni di grigio dell’immagine vengono elaborati in un indice strutturale, BSI – Bone Structure Index, che è stato introdotto per evidenziare il contributo dell’organizzazione spaziale delle trabecole alla capacità di reggere i carichi, a prescindere dal livello locale di mineralizzazione.

«Lavoriamo come saas perché non vendiamo il software al medico o ai centri ma forniamo il servizio. Infatti, i piani prevedono un pagamento quasi sotto forma di subscritpion, a seconda di quante radiografie vengono caricate sulla piattaforma. Il nostro BES test ha ottenuto il marchio CE come dispositivo medico e la certificazione ISO 13485».

Ad oggi, M2Test ha 16 early adopter e circa 5 mila pazienti che hanno effettuato il test a livello privato, segmento a cui la startup sta guardando al momento. Con un piccolo aumento di capitale, un business development è entrato nella società, che viene sempre supportata da Area Science Park.

La parte software di M2test nasce dall'attività di ricerca universitaria di Francesca Cosmi: «Ciò mi ha portato a sviluppare gli algoritmi con cui viene simulato il comportamento di un materiale. Ciò è fondamentale per risparmiare sui tempi, anche in scenari difficoltosi come la microgravità nei viaggi spaziali di lunga durata».

«In modo particolare, questi esperimenti consentono di guardare in maniera lungimirante ad alcune destinazioni, come la Luna o Marte, dove un aspetto essenziale non è solo il viaggio ma anche come si comporta il corpo umano, come carico, con diverse gravità».

M2Test segue con fervore il percorso di Prospera Women, un progetto dedicato alle start up al femminile, che permette di presentare prodotti innovativi ad un pubblico di investitori statunitensi, con un background culturale diverso da quello europeo.

«Il mondo italiano rispetto a quello americano è completamente diverso e quindi c'è bisogno di calarsi per bene in una mentalità ben precisa» sottolinea Nicolosi.

«Una parte fondamentale per noi è arrivata nella seconda metà del percorso di accelerazione di Prospera Women, dove ci è stata affidata una mentor, che ci sta supportando nell'ottenimento di riscontri e feedback da parte delle aziende dell'area med-tech nella Bay Area».

Le notizie più lette

#1
Google chiude i rubinetti di Gemini: finisce l'era della cortesia mentre GPT-5.2 bussa alla porta
9

Business

Google chiude i rubinetti di Gemini: finisce l'era della cortesia mentre GPT-5.2 bussa alla porta

#2
Ecco come cambia il roaming dati in Europa a partire dal primo gennaio
3

Roaming

Ecco come cambia il roaming dati in Europa a partire dal primo gennaio

#3
Le chiavi ROM di PS5 sono state diffuse: jailbreak in vista?
3

Videogioco

Le chiavi ROM di PS5 sono state diffuse: jailbreak in vista?

#4
OpenAI regala ChatGPT Plus: ecco chi può averlo
4

Hardware

OpenAI regala ChatGPT Plus: ecco chi può averlo

#5
Quanto conta il Noise Cancelling nell’ascolto per audiofili?
1

Altri temi

Quanto conta il Noise Cancelling nell’ascolto per audiofili?

👋 Partecipa alla discussione! Scopri le ultime novità che abbiamo riservato per te!

0 Commenti

⚠️ Stai commentando come Ospite . Vuoi accedere?

Invia

Per commentare come utente ospite, clicca quadrati

Cliccati: 0 /

Reset

Questa funzionalità è attualmente in beta, se trovi qualche errore segnalacelo.

Segui questa discussione

Ti potrebbe interessare anche

Google chiude i rubinetti di Gemini: finisce l'era della cortesia mentre GPT-5.2 bussa alla porta
9

Business

Google chiude i rubinetti di Gemini: finisce l'era della cortesia mentre GPT-5.2 bussa alla porta

Di Valerio Porcu
Fare impresa solo con l'AI, ecco com'è andata a chi ci ha provato
7

Business

Fare impresa solo con l'AI, ecco com'è andata a chi ci ha provato

Di Valerio Porcu
OpenAI ricopre d'oro i suoi dipendenti, la media è 1,5 milioni di dollari

Business

OpenAI ricopre d'oro i suoi dipendenti, la media è 1,5 milioni di dollari

Di Valerio Porcu
Buon 2026 alle banche europee che tagliano 200.000 posti di lavoro per l'IA
1

Business

Buon 2026 alle banche europee che tagliano 200.000 posti di lavoro per l'IA

Di Antonino Caffo
Care aziende, ecco quattro tendenze per implementare l'IA nel 2026

Business

Care aziende, ecco quattro tendenze per implementare l'IA nel 2026

Di Antonino Caffo
Footer
Tom's Hardware Logo

 
Contatti
  • Contattaci
  • Feed RSS
Legale
  • Chi siamo
  • Privacy
  • Cookie
  • Affiliazione Commerciale
Altri link
  • Forum
Il Network 3Labs Network Logo
  • Tom's Hardware
  • SpazioGames
  • CulturaPop
  • Data4Biz
  • TechRadar
  • SosHomeGarden
  • Aibay

Tom's Hardware - Testata giornalistica associata all'USPI Unione Stampa Periodica Italiana, registrata presso il Tribunale di Milano, nr. 285 del 9/9/2013 - Direttore: Andrea Ferrario

3LABS S.R.L. • Via Pietro Paleocapa 1 - Milano (MI) 20121
CF/P.IVA: 04146420965 - REA: MI - 1729249 - Capitale Sociale: 10.000 euro

© 2026 3Labs Srl. Tutti i diritti riservati.